HOME
ABOUT
Our Team
Our Specialists
Our Profile
Why Choose Us
Our Services
THE PRACTICE
Book Appointment
Timings
Testimonials
GALLERY
Featured Cases
Clinic Tour 360
REACH US
Contact Form
Book Appointment
Driving Directions
Locate Us
Booking
Featured Cases
Category: Conservative Dentistry and Cosmetic Dentistry
Description: Restoration of Decayed Tooth
Category: Conservative Dentistry and Cosmetic Dentistry
Description: Restoration of Decayed Tooth
Category: Conservative and Cosmetic Dentistry
Description: Restoration of Eroded Tooth at the Cervical Margin
Category: Root Canal Treatment
Description: Restoration of Decayed Tooth
Category: Root Canal Treatment
Description: Restoration of Decayed Tooth
Category: Cosmetic Correction
Description: Diastema Closure
Category: Cosmetic Correction
Description: Diastema Closure
Category: Cosmetic Correction
Description: silver filling and composite filling
Category: Hemisection
Description: Hemisection
Category: Cosmetic Dentistry
Description: Crown & Bridge
Category: Cosmetic Dentistry
Description: Crown & Bridge
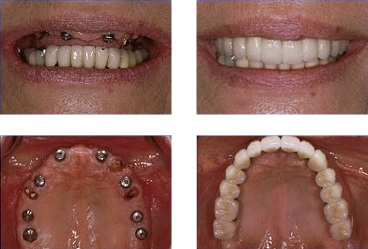
Category: Prosthodontics
Description: Implants
Category: Prosthodontics
Description: Implants
Category: Cosmetic Dentistry
Description: Lazer whitening
Category: Prosthodontics
Description: Stainless steel crown
SHARE THIS PAGE!
Copyright © 2019-2026 sunnydentalclinic.com - All Rights Reserved |
A Dentaura Design
Online Booking
Facebook
Instagram
Whatsapp
Phone
Quick Contact Form
SHARE THIS PAGE!